Peer Reviewed Research Publications
Check out my Google Scholar for an up-to-date list of publications! Google Scholar

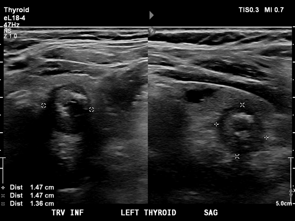
Papillary Thyroid Carcinoma Infiltrating a Parathyroid Adenoma: A Case Report – Cureus: 2025 Impact Factor 1.2
During my third-year surgical rotation, I co-authored a case report describing a rare overlap of two common endocrine conditions: a parathyroid adenoma and papillary thyroid carcinoma. Our patient presented with primary hyperparathyroidism and hypercalcemia, but surgical pathology revealed something unexpected: the thyroid cancer had actually invaded the parathyroid adenoma itself
This unusual histologic interplay complicates what is usually a straightforward operation and highlights the importance of thorough preoperative imaging, intraoperative vigilance, and careful pathology review. Cases like this remind me that in medicine, just as in research, it’s often the rare or unexpected findings that sharpen our skills and shape better patient care.

Variation in zinc release from surface coatings as a function of methodology – Science of The Total Environment: 2021 Impact Factor 10.75
★First Author
In a follow-up to our first publication in this series, I explored how different testing methods can shape our understanding of nanomaterial risk. Using zinc oxide nanoparticles in surface coatings as a model, we compared two standardized wipe techniques to see how much material was released during simulated skin contact. Interestingly, the choice of method made a big difference—some tests suggested higher release, while others downplayed it, even though less than 3% of the applied nanoparticles ever came off the surface.

Release and transformation of nanoparticle additives from surface coatings on pristine & weathered pressure treated lumber – Science of The Total Environment: 2020 Impact Factor 7.96
★First Author
During my undergraduate research, I had the opportunity to publish work on how engineered nanomaterials behave once they are incorporated into real-world products. This study investigated how zinc oxide nanoparticles, commonly used in wood coatings, are released and transformed under different environmental and physical conditions. While the study focused on outdoor building materials, the theme is universal: understanding how materials interact with their environment is essential for protecting both people and communities.